Bleeding rain

red_white_blood_cells‘Been thinking about you all morning.’

A siren song assailed my left ear as I was in the filling station waiting to pay. It’s not something I expect to hear from ladies in queues. She’d been deliberating about whether or not to go for her morning run, and was just about to settle on ‘no’ because the weather was so vile, when her daughter piped up ‘Stanley said yesterday it didn’t matter if you got wet because once you were wet you wouldn’t get any wetter and anyway you’d soon dry.’ So she went.

That’s the first evidence that anybody ever listens to anything I say.

Yesterday’s Maryborough School Assembly was about water. My views about wetness come from experience from the age of 10 onwards. When you’ve grown up around Penrith, and got soaked most mornings walking the mile or so from King Street bus stop to the Grammar School, you get used to rain, and you realise pretty quick that once you’re wet through (after about 20 seconds, I recall), you don’t get any wetter. Furthermore, before long you dry out. Never mind that the first 35 minute class is endured amidst steam rising from damp uniforms and viewed through steamed up specs.

I also said how magic our dog’s coat was for it was self-cleaning. And maybe our skin was. And maybe we shouldn’t wash so much because being too clean did nothing for our immune systems. This did not go down well with the teachers.

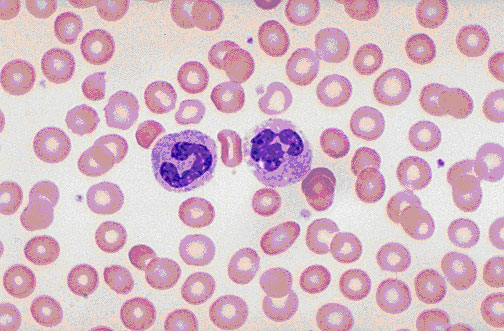
After assembly I took the seniors for a short biology discussion about blood. There had been a recent death from leukaemia, so we did types of blood cells, what they do, and what goes wrong when they don’t. And a bit of Greek with erythro and leuko and cyte and aemia. As far as I can judge from their attitude and lack of fistling, they were seriously interested. They certainly asked intelligent questions.

There’s a market for public lectures about how the body does and doesn’t work.

Leave a comment